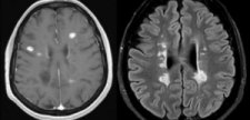
Reunión de Consenso Radiológico en el Diagnóstico y Seguimiento de la Esclerosis Múltiple

El próximo día 10 de Febrero de 2017 tendrá lugar en el Hospital Universitari i Politènic la Fe de Valencia (Aula H009) una reunión de Neurología y Radiología sobre Consenso radiológico en diagnóstico y seguimiento de la Esclerosis Múltiple, organizada por los Dres. Ventura Casanova y Luis Martí Bonmatí.

Se adjunta el programa de la Reunión en el siguiente enlace

Visitas: 7

Esta entrada fue publicada en Uncategorized. Guarda el enlace permanente.